What is Cardiac and Diabetic Care?
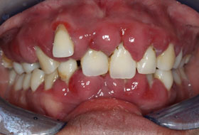
Diabetes reduces the body's resistance to infection. As a result, the gums are among the tissues likely to be affected. In addition, periodontal disease is often linked to the control of diabetes. New research suggests that treating periodontal disease and infection can even affect a patient's blood glucose control.
              For teeth and gums of diabetic and cardiac patients, we offer special attention and care like:
              
શું તમને ડાયાબિટીસ છે?
ડાયાબિટીસના દર્દીઓમાં પેઢાના રોગ "પાયોરિયા" થવાનું જોખમ વધારે હોય છે ડાયાબિટીસના દર્દીઓમાં પાયોરિયા નો રોગ સામાન્ય વ્યક્તિ કરતાં ચાર ગણી વધારે ઝડપે અને વધારે નુકસાન કરે તે સ્થિતિમાં પહોંચી શકે છે.Latest Research પ્રમાણે, આગળ વધી ગયેલા પાયોરિયાને કારણે, જે તે વ્યક્તિના ડાયાબિટીસના રિપોર્ટ (Suger Level) માં ખૂબ જ ઉથલ પાથલ થઇ શકે છે.
પાયોરિયામાં, અને ખાસ કરીને, ડાયાબિટીસના દર્દીઓમાં, દાંતની આજુબાજુના પેઢા, અને હાડકામાં પરુ થાય છે. દાંતનો Support ઢીલો થાય છે. આગળ જતા ઢીલા દાંત, જગ્યાઓ વાળા દાંત થાય છે. તે દાંત ગુમાવવાનો વારો આવે છે. ઉપરાંત Suger Level માં ગંભીર રીતે વધારો થઇ શકે છે. પરંતુ, છેક છેલ્લા તબક્કા સુધી પાયોરીયામાં દુખાવો કે તકલીફ નહીં થતી હોવાને કારણે, ડાયાબિટીસ વાળી વ્યક્તિ શરૂઆતની સારવાર લેવાનું ચુકે છે.
 
                    
                    Cardiac and Diabetic Care 01
                     
                    
                    Cardiac and Diabetic Care 02
                     
                    
                    Cardiac and Diabetic Care 03
                     
                    
                    Cardiac and Diabetic Care 04