Smile Designing

What is Smile Designing?

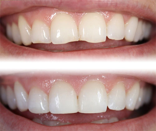
Smile Makeover and Smile Design is the primary service we offer. Smile Design is a highly technical process requiring great skill and experience to achieve a natural result. It is not taught at all, or only touched upon in dental school. Dentist must have an artistic flair. For this reason most dentists do not focus on this discipline. It takes artistic ability and extensive knowledge to perform an impeccable Smile Design. Techniques require precise measurements based upon mouth shape, gum lines, lips, and the natural shape of the teeth. Each smile is unique and that's why we devote time to precisely plan a Smile Design before we begin the actual procedure.

No all great smiles were born in this way, Cosmetic dentistry is our speciality.

  • Improves appearance of your smile.
  • Improves self confidence and oral health.